
商务合作:2519330936@
版主

肝硬化---肝脏形态
肝脏的损害通常会导致纤维化和肝硬化,这可能是由多种因素引起的,包括有毒物质、代谢紊乱、肥胖、酗酒和病毒感染。
黄曲霉毒素被认为是非洲和亚洲等病区肝硬化的一个重要原因。代谢和遗传性疾病,包括血色素沉着症,也可导致肝硬化。
酒精可直接损害肝细胞,但也损害肝细胞线粒体中脂肪酸的摄取和氧化。过量的食物脂肪和碳水化合物作为脂肪酸和甘油三酯储存在肝细胞中。此外,受损的肝细胞失去了从肝脏中有效地清除甘油三酯的能力。因此,肥胖、糖尿病(II型)以及酒精中毒可导致脂肪肝。长期脂肪变性可导致脂肪性肝炎,可进展为纤维化并最终导致肝硬化。
病毒性肝炎是目前导致北美洲肝纤维化和肝硬化的最重要的致病因素。


各基本序列信号特征
T1fatsat:T1压脂,多发再生结节导致肝脏轮廓不规则;
SSTSE:T2WI,肝段比例失调,尾状叶(I段)、左外叶(II、III段)增生肥大,右叶萎缩,轮廓不规则;
T1反相位:尾状叶及右叶增生肥大;
SSTSE:T2WI,左外叶及右叶增生肥大。




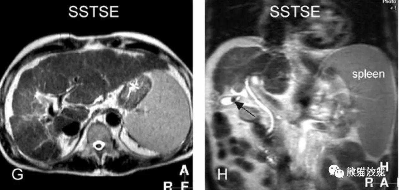
肝硬化,形态表现(来自六个不同患者):
A、C:T1WI压脂及反相位,肝内多发较高信号结节及分隔,导致肝脏形态不规则;
B、D:影像表现如上所述。
E:T2WI,肝左内叶(IV段)萎缩;
F:冠状T2WI,肝脏萎缩,脾脏增大;
G:T2WI,肝左内叶(IV段)完全萎缩;
H:冠状T2WI,肝右叶及左外叶增生肥大。


肝硬化,形态示意图:
A、肝左内叶(IV段)萎缩,右叶及左外叶代偿性增大;
B、肝脏萎缩,脾脏增大;
C、肝左内叶(IV段)完全消失,胆囊窝空虚;
D、肝右叶及左叶均增大。
肝硬化---再生结节(RN)及融合性纤维化
肝硬化主要由纤维分隔包围的再生结节(RNs)组成。除结节外,肝硬化的肝脏部分区域可能有节段性纤维化增加,其在超声和CT上可类似恶性肿瘤表现,主要由于这些形态缺乏内在组织对比和动态增强成像的常规使用。此外,这种情况下RNs也不易与恶性肿瘤相鉴别。
MRI对显示弥漫性肝脏病变包括肝硬化及相关异常有高度的敏感性和特异性。


各基本序列信号特征
T2fatsat:T2压脂,肝右叶局部萎缩并信号增高;
T1反相位:相应部位呈较低信号;脾大,脾实质内可见GamnaGandy小体,提示门脉高压;
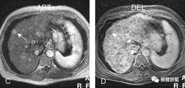
ART:动脉期有强化,可能提示HCC;
DEL:延迟期右叶病灶持续强化呈等信号,提示融合性纤维化。




肝硬化,融合性肝硬化,MRI表现:
A~D:影像表现同上方所述。
E:DWI可显示更多的脾内GamnaGandy小体(铁沉积);
F:反相位,肝内可见多发的再生结节;
G:T2WI,肝轮廓不规则;
H:冠状T2WI,肝右叶萎缩,可见胆囊结石。


肝硬化,组织病理学(其他患者):
A、大体:多发肝硬化结节,周围可见分隔包绕;
B、镜下(HE×40):多发再生结节(RN),其间可见分隔,提示肝硬化;
C、镜下(HE×100):再生结节与分隔;
D、镜下(HE×100,天狼星红染色):可见更好的显示纤维分隔。
肝硬化---不典型(异型)增生结节
肝硬化可能包含各种类型的结节,包括再生结节(RN)、不典型增生结节(DN)和肝细胞癌(HCC)。
这些结节是肝癌逐步发生的一部分,表现为细胞结构的增加和肝脏病变的增大。目前在HCC演变中公认的命名是:再生结节→低级别不典型增生结节→高级别不典型增生结节→小肝癌→大肝癌。
发育不良病变由肝细胞组成,其具有推定或已证实的遗传改变引起的异常生长的组织学特征。不典型增生结节包括不典型增生灶和不典型增生结节。不典型增生灶的定义为直径小于1mm的肝细胞不典型增生,但没有明确的恶性组织学特征。不典型增生提示有细胞核和细胞质的改变,例如不同程度的核异型及胞浆脂肪或糖原量的增加,此类细胞成簇组成成为“灶”。不典型增生灶在肝硬化很常见。


各基本序列信号特征
SSTSE:冠状T2WI,肝硬化,腹水,肝内多发低信号结节;
TSEfatsat:T2WI压脂,所有结节均呈低信号;
ART:动脉期,较大结节强化较明显,其余结节均不同程度有强化;
DEL:延迟期,大结节及其他结节均未见明显肿瘤包膜。




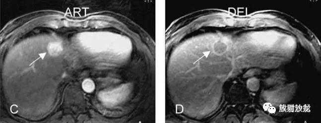
肝硬化,DN,MRI表现:
A~D:影像表现如上所述。
E:反相位,大部分肝结节呈较高信号;
F:同相位,肝内部分结节因铁沉积呈低信号;脾脏亦可见低信号的Gamna-Gandy小体;
G:动脉期,局部放大图像,大结节强化较明显;
H:延迟期,局部放大图像,大结节并未见肿瘤包膜。


DN:组织病理学图、示意图:
A、镜下(HE×20):较大结节周围环绕以纤维分隔;
B、镜下(HE×100):细胞增加,大小不等的细胞核,提示不典型增生改变;
C、肝硬化,肝实质内见多发的RN及DN;
D、最大的DN内出现局灶性HCC。
肝硬化—DN-HCC转变
先进的MRI能显示HCC转变过程中的一系列表现,包括:
(1)DN中出现局部脂肪浸润,结合甲胎蛋白(AFP)缓慢升高,提示其逐渐演变为HCC;
(2)T2WI上在DN结节内出现高信号,提示演变为HCC;
(3)出现明显的新生血管。
磁共振成像应是肝硬化患者评估和随访的首选方式。


各基本序列信号特征
T2fatsat:未见病灶显示;
同反相位:反相位呈低信号,提示局灶性脂肪浸润;
ART:动脉期,由于脂肪抑制呈低信号,无明显强化;
DEL:延迟期,仍呈低信号。




DN-HCC转变,MRI表现:
A~D:影像表现如上所述。12个月后复查:
E:T2压脂未见明确病灶;
F:同反相位示病灶体积增大,反相位呈低信号;
G:动脉期,结节有强化;
H:延迟期,结节内造影剂廓清,提示其为DN并局灶性HCC。


DN-HCC转变,MRI随访(18个月后):
A:T2压脂可见类圆形高信号灶;
F:同反相位示病灶内无明显脂肪浸润;
G:动脉期,结节明显均匀强化;
H:延迟期,结节内造影剂廓清,周围可见肿瘤假包膜,符合HCC表现。
以下内容来自网络(杨正汉相关讲座):











今晚19:30,论文写作系列讲座最后一讲
高宏教授《论文结果和讨论的撰写》