
【栏目简介】
《必杀技》是"心在线"与航天中心医院赵运涛医生及其团队独家合作的专栏,每周四与您相约。"福尔摩斯医生"目光犀利,能从细微之处洞察临床事件本质,并教给您临床诊断的必杀技能。
在继发性高血压的鉴别诊断中,嗜铬细胞瘤往往难以发现并确诊,临床中遇到的病例有可能非常不典型,甚至表现形式多种多样,但仍然要从中吸取经验及教训,提高对嗜铬细胞瘤的诊断成功率。我们发表在美国急诊医学杂志2017年35期里一篇文章,就介绍了嗜铬细胞瘤导致长QT及尖端扭转性室性心动过速的病例。

【病例资料】
一天傍晚,一位50岁广场舞大妈,做饭后用力拔掉墙上的插销,立刻感觉到前胸及后背部剧烈疼痛,立即拨打急救电话,送至医院。测血压140/90mmHg。心电图提示II、III、aVF、V2~V6导联T波呈三相波,QTc465ms(图1)。血白细胞总数18.06×109/L,肌钙蛋白、钾、钠、钙均正常。

图1
初步考虑患者为急性冠脉综合征及感染原因待查,给予依诺肝素抗凝、双联抗血小板聚集、硝酸甘油扩张血管、莫西沙星抗感染治疗。
进一步查心脏超声、心脏增强核磁、冠状动脉CTA(图2)、主动脉CTA、肺动脉CTA均未见明显异常。

图2
患者仍持续前胸及后背疼痛,转入心内科治疗。血压升高至180/90mmHg,给予乌拉地尔降压治疗。复查心电图提示T波双峰,QTc470ms(图3)。复查心肌酶阴性。血钾下降至3.25mmol/L,给予补钾治疗。

图3
第2天,患者突发意识丧失,心电图提示尖端扭转性室性心动过速(图4),当时血钾水平正常,给予心肺复苏及补钾、补镁等治疗,停用莫西沙星。

图4
第3天,患者胸痛及背痛缓解,血压下降,复查心电图提示T波基底部增宽,QTc506ms(图5)。诊断为“高血压伴低血钾原因待查:醛固酮增多症?长QT综合征,尖端扭转性室性心动过速”,从心内科治疗好转出院。

图5
1月后,为进一步明确诊断再次入院,住内分泌科。复查心电图正常(图6),腹部CT提示右侧肾上腺2.1cm×1.0cm结节(图7)。

图6

图7
评估肾上腺结节功能,查血儿茶酚胺、尿VMA、ACTH-皮质醇节律、肾素-血管紧张素-醛固酮系统均正常;生长抑素显像阴性。外院所有检查,均未见异常,诊断为“肾上腺无功能腺瘤”。长QT综合征相关基因检测也未见异常。
出院后患者不甘心,再次就诊于泌尿外科,入院切除肾上腺结节。病理提示嗜铬细胞瘤,S-100蛋白阳性;免疫组化显示肿瘤表达Ki-67(index2%)、NeuN、Syn、CgA(图8)。

图8
【病例分析】
看到这里,您可能觉得很诧异,这并不像我们常见的嗜铬细胞瘤。教科书里提到嗜铬细胞瘤,最常见的表现是高血压、头痛、心悸。可是,临床中嗜铬细胞瘤总是不按常规出牌,我们形象地将其比喻为“伟大的演员”,它可以模仿多种心血管疾病,比如:高血压、心肌梗死、心力衰竭、心肌病(扩张型或肥厚型)、恶性心律失常等,几乎涵盖了所有的心内科疾病。
在这个病例诊断过程中,也有一些令人混淆的因素,如低钾血症和莫西沙星。低钾血症常见心电图表现U波增高,并可与T波融合成为“双峰T波”,T波降低,平坦或倒置,Q-T间期延长。该患者心电图T波并无低平,且无持续低钾血症,无法用低钾血症解释长QT及尖端扭转性室性心动过速。莫西沙星有报道称会导致长QT,但是这个病例发病之初,未应用莫西沙星时就已经出现了T波改变及长QT,考虑莫西沙星可能为加重的因素,并非疾病的根本原因。
【必杀技】
嗜铬细胞瘤的心电图改变为心律失常及心肌缺血、损伤、顿抑,可能的机制为儿茶酚胺过多影响了心肌细胞。据报道,35%的嗜铬细胞瘤患者出现了长QT。虽然,嗜铬细胞瘤表现形式多种多样,除病理外难以确诊,但遇到高血压伴长QT,甚至合并尖端扭转性室性心动过速时,可以考虑到嗜铬细胞瘤这个病因。
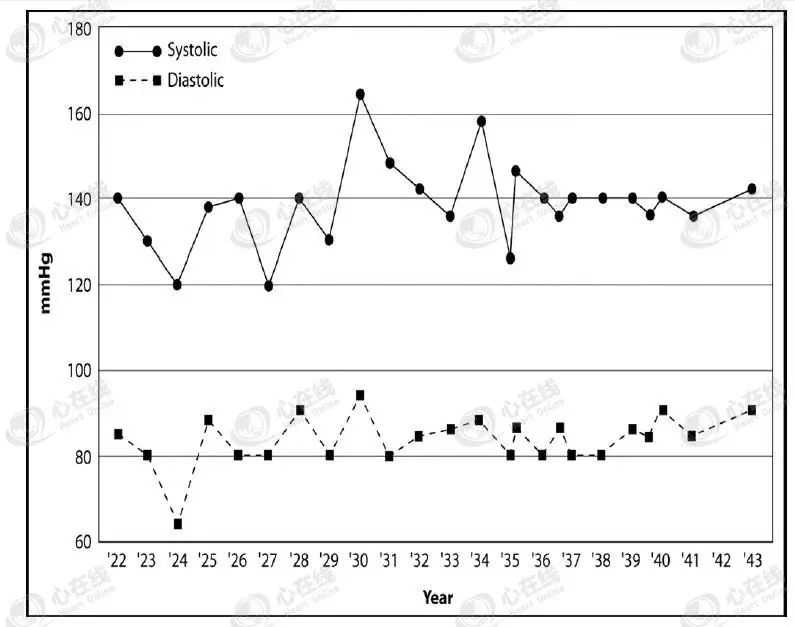
美国第三十四任总统艾森豪威尔,1955年心脏病发作,并于14年后死于缺血性心肌病。尸检结果显示左侧肾上腺1.5cm嗜铬细胞瘤。从1930年至去世,他的血压都记录在册(图9),但并没有发现嗜铬细胞瘤的踪迹。在他生前的最后阶段,饱受缺血性心肌病折磨,但仍记录到血压升高的峰值。我们分析这个隐藏在总统身上的杀手“嗜铬细胞瘤”,不仅引起了总统血压的波动,同时还导致缺血性心肌病病情加重,进而导致死亡。

图9
这两个经典的病例,病因均为嗜铬细胞瘤。可以看出,虽然它的发生率不高,但危险性高。同时,嗜铬细胞瘤的表现形式多种多样,需要我们仔细甄别。尽早“抓住”这个“隐藏的杀手”,可以让患者更多获益。
参考文献(滑动查看)
1.WangL,ChenCJ,;35(1):186.
2.MesserliFH,LoughlinKR,MesserliAW,;99(9):1325-9.
3.PaulinFL,KleinGJ,GulaLJ,SkanesAC,YeeR,;20(8):931-4.
4.Rodríguez-SuárezS,García-MorilloS,Gómez-MoralesL,Romero-RodriguezN,Beltran-RomeroL,:ñoladeCardiología(EnglishEdition).2012;65(5):485-6.
5.CeciliaGM,EmilienD,ationofapheochromocytomainapaediatricpatient:;25(2):391-3.
专家
简
介

王蕾,毕业于北京大学医学部临床医学,博士研究生,主治医师,毕业课题研究方向为老年危重症,通过北京市第一阶段、第二阶段规范化培训,一直从事于心血管疾病诊疗工作,擅长冠心病、高血压、心律失常、心力衰竭、高脂血症等多种疾病。2015年创办航天科工集团二院首届青年创新工作室,研究房颤患者华法林抗凝问题。参与首发基金课题一项,已经发表核心期刊及SCI文章10篇。

赵运涛,副主任医师,北京大学医学博士,现任职于北京大学航天中心医院心内科。现任中国心电学会无创心脏电生理专业委员会常委;北京医学会心电生理和起搏分会青年委员会委员。《心电图杂志(电子版)》常务编委。以第一作者发表SCI论文18篇,分别发表于《AnnalsofInternalMedicine》,《BMJ》(casereview)及《circulation》(casesandtraces)等国际著名杂志。《AnnalsofInternalMedicine》、《Heart》及《PlosOne》审稿人。
作者授权“心在线”独家刊登,欢迎转发,谢绝转载,保护版权,违者必究