KristinaJacksonBehan,PhD,MLS(ASCP)CM,MichaelAJohnston,MS,ProtocolstoDissolveAmorphousUrateCrystalsinUrine,LaboratoryMedicine,Volume53,Issue3,May2022,Pagese63–e68,
目的
无定形尿酸盐晶体在常规尿液分析中会掩盖显著发现。没有标准化的协议来最小化它们的影响。
材料和方法
我们测试了210个尿液样本。三个标本的红细胞(RBC)或白细胞(WBC)计数较高。56个标本形成无定形尿酸盐。这些标本的沉积物用50mM氢氧化钠(NaOH)以1:2和/或1:4稀释度处理。我们用不同温度的晶体加热了22个标本。
结果
在具有酸性pH值的浓尿中形成的无定形尿酸盐晶体。加入50mMNaOH溶解无定形尿酸盐,揭示潜在细菌和酵母的存在,但WBC和RBC计数严重降低。将未旋转的试样预热至60°C90秒,溶解大多数无定形尿酸盐。
结论
消除无定形尿酸盐晶体的方案是在测试前预热试样。向沉积物中添加50mMNaOH可溶解无定形尿酸盐以增强细菌和酵母的可见性,但对WBC和RBC有有害影响。
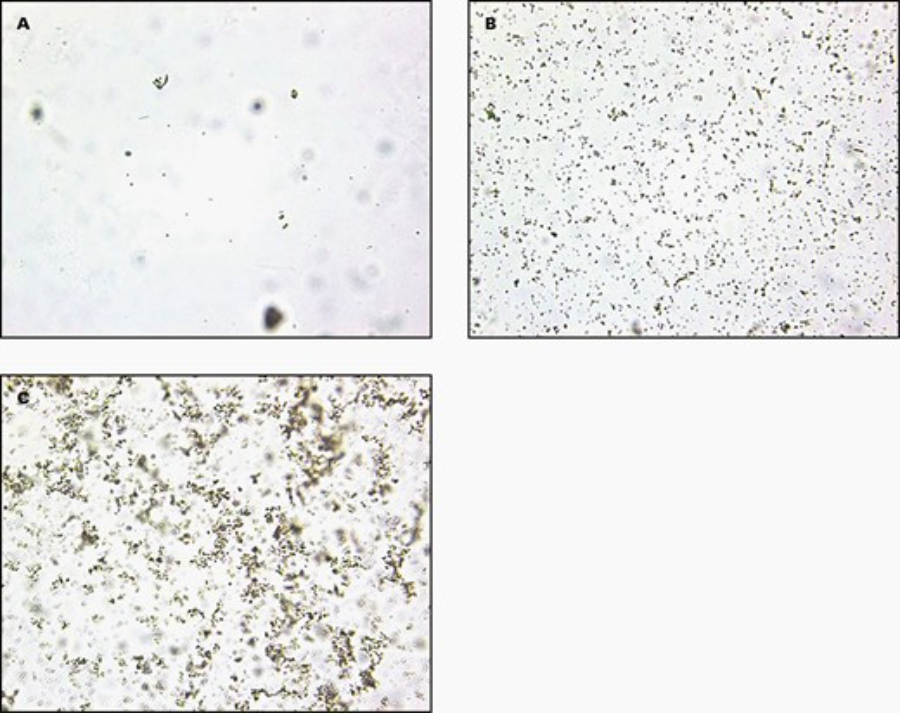
进行尿液显微镜分析以确定与疾病相关的重要元素的存在,例如红细胞(RBC)、白细胞(WBC)、管型、酵母菌和细菌。尿液中晶体的存在可以是病理性的或良性的。许多晶体形成特定的可识别形状,例如草酸钙和三磷酸盐。在浓缩尿液中会形成小而无形的晶体,尤其是在标本冷藏时。1在酸性尿液中,这些晶体称为无定形尿酸盐,钠,钾,镁或钙的尿酸盐。2-5在碱性尿液中,它们被称为无定形磷酸盐。虽然无定形晶体是非病理性的,但它们可能类似于细菌,并且可能掩盖重要的发现(图1A和1C).从宏观上看,它们使尿液看起来浑浊或浑浊。
图1.

无定形尿酸盐晶体掩盖了显微分析中的重要发现。A。标本12的尿沉渣。二.用50mMNaOH处理后的标本12揭示了细菌的存在。三.含有无定形晶体、酵母和细菌的尿沉渣。D.用50mMNaOH处理后,很容易看到细菌和酵母细胞。在400×放大倍率下拍摄的显微照片,明场显微镜,无染色。氢氧化钠,氢氧化钠。
无定形磷酸盐可以用2%乙酸快速溶解,但不能用热快速溶解。酸处理会破坏红细胞,但会增强白细胞和上皮细胞的外观。无定形尿酸盐不溶于乙酸,但据报道可溶于碱。我们检索了几本尿液分析教科书以及临床和实验室标准协会批准的尿液分析指南,没有发现关于使用哪种碱性溶液或其对尿液中其他形成元素的影响的具体说明的参考文献。1-9该项目的目标是制定一种方案,安全快速地溶解尿渣中的无定形尿酸盐,并确定其局限性。
材料和方法我们从一所大学的健康成年人和一家步入式诊所的志愿者那里收集了总共207份随机尿液标本。将标本冷藏20至48小时。在测试之前,他们被允许达到环境温度。使用Uretrak分析仪上的Multistix10SG(西门子)读数进行生化分析。接下来,将每个标本的12mL在400RCF下离心5分钟。弃去上清液,剩余的0.5mL沉淀物可用于分析。对于WBC和RBC评估,从医院的住院患者中收集了3份尿液标本,并将其转移到UA防腐管(BD真空管)中。标本在采集后3天内进行测试。
氢氧化钠(NaOH)是实验室中常用的碱,通常有不同的浓度。我们选择了50mMNaOH(0.2%NaOH),因为它是一种弱碱,不会对健康造成重大危害,只需要使用常规实验室个人防护设备。10它可以在环境温度下存放在台面上,使其成为方便的显微镜工具。
通过将10μL充分混合的尿沉渣加入10μ%盐水中,进行1:2稀释,对沉淀物进行显微镜分析。无定形尿酸盐的存在分级为0、1+或2+,如图2.我们用10μL50mMNaOH处理10μL尿沉渣,以1:2稀释;用15μL50mMNaOH处理5μL尿沉渣,以1:4稀释。每次稀释液中无定形尿酸盐的存在分级为0,1+或2+。在极少数情况下,使用1:5稀释。为了检查NaOH对形成元素的影响,在含有无定形尿酸盐的标本中加入细菌和酵母。血尿和白细胞尿患者标本用于评估红细胞和白细胞计数。使用IBMSPSS版本28执行统计分析。
图2.

无定形尿酸盐晶体的显微镜评估定量分级图。A.等级为0.B.等级为1+。C.等级为2+。在400×放大倍率下拍摄的显微照片,明场显微镜,无染色。
使用鉴定为SH-20的特定保存标本评估NaOH对红细胞的影响。生化试纸显示3+血液,,比重1.015。标本中没有无定形尿酸盐。利用重力使7mL样品沉降,并除去3.4mL上清液。将剩余的沉积物悬浮液高速涡旋10秒并充电至血细胞计数器,并将细胞计数为5个RBC方格。为了测试50mMNaOH对红细胞的影响,将100μL沉积物悬浮液添加到100μL50mMNaOH中。将溶液涡旋5秒并充入血细胞计数器,并将细胞计数为5个RBC方格。将用NaOH处理的细胞数乘以2以校正稀释度,并与对照进行比较。
使用鉴定为SH-9的特定保存标本评估NaOH对WBC的影响。生化条显示3+白细胞,2+血液,,比重1.025,蛋白质2+和葡萄糖1+。标本中没有无定形尿酸盐。将8.5mL样品在400RCF下离心5分钟,倾析上清液以保留1.2mL沉淀物。沉积物被涡旋了10秒钟。取出一小块白色细胞,将标本再次涡旋10秒并充入血细胞计数器,并将细胞计数为5个红细胞方块。为了测试50mMNaOH对WBC的影响,将100μL沉积物悬浮液添加到100μL50mMNaOH中。将溶液涡旋5秒并充入血细胞计数器,并将细胞计数为5个RBC方格。将用NaOH处理的细胞数乘以2以校正稀释度,并与对照进行比较。对第二个保存的尿液标本(鉴定为SH-3)重复分析。生化试纸分析显示3+白细胞,1+血液,,比重1.025和蛋白质1+。没有无定形尿酸盐。利用重力沉降7.7mL样品,并除去6.6mL上清液以产生沉淀悬浮液。如上所述处理沉积物悬浮液,并将细胞计数为5个RBC正方形。
使用进行统计分析。使用配对t检验(相关t检验)来确定施用NaOH之前和之后的样本均值之间是否存在差异。采用正态分布拟合优度检验分析标本间差异。
通过在4°C下冷藏6至10mL尿液过夜来测试温度对宏观浊度的影响。形成无定形尿酸盐的标本根据读取打印的能力将其分级为具有1至3+浊度,如图3.将样品在55°C、60°C和65°C下孵育90秒,并评估其浊度等级的变化。
图3.

无定形尿酸盐晶体定量分级图式的宏观评价。0=透明,1+=易于阅读的打印件后面的打印件,2+=无法读取打印件,3+=不透明。
该项目得到了机构审查委员会的批准,符合进行实验的机构制定的道德标准。
结果试样的比重和pH值我们在白天的随机时间从178名非卧床成年人那里收集了总共207个尿液样本。56个标本冷藏后形成无定形尿酸盐晶体。形成无定形尿酸盐晶体的标本的平均pH值为6.0,平均比重为1.029(表1).进行独立样品t检验,以确定产生和不产生晶体的样品的pH值和比重之间是否存在差异。平均而言,形成尿酸盐晶体的试样的pH值(平均值=6.009,SE=0.0201)在统计学上低于未形成尿酸盐晶体的试样的pH值(平均值=6.510,SE=0.0549)。这种差异在t(184)=−8.57,时显著;此外,它代表了一个大尺寸的效应,r=.53。比重分析证明了相反的趋势:形成尿酸盐晶体的试样的比重(平均值=1.029,SE=0.0002)在统计上高于未形成尿酸盐晶体的试样的比重(平均值=1.019,SE=1.0004)。这种差异在t(200)=17.84,时显著;此外,它代表了一个大尺寸的效应,r=.78。形成晶体的标本的pH值较低,比重较高。
图1比较加入等量50mMNaOH之前和之后来自2个样品的尿沉渣照片。NaOH溶解了无定形尿酸盐,并允许更好的细菌和酵母的可见性。
我们量化了完全溶解晶体所需的50mMNaOH量。图2显示使用的分级等级。加入等量的50mMNaOH(×2处理)后,23%试样中的非晶晶体完全溶解;通过×4治疗,这一结果增加到98%。只有1个测试的试样需要1:5处理才能完全溶解无定形晶体。
进行重复测量方差分析以确定标准处理的等级是否存在差异。晶体等级结果的描述性统计显示在表2.莫齐利的检验表明,球形度的假设被违反了,χ2(2)=34.02,,为NaOH处理的主要效果。因此,使用温室-盖瑟球形度估计值(ε=0.68)校正自由度。结果表明,不同处理间无定形晶体数量差异有统计学意义,F(1.4,75.0)=288,,ω2=0.97。对所有3种处理之间的成对比较进行事后分析也表明结果具有统计学意义。这一发现证实了用50mMNaOH处理导致晶体数量的显着减少。
使用来自2名尿路感染患者的尿液标本来评估50mMNaOH对WBC的影响。平均而言,与未处理的等分试样(平均值=54.4,SE=2.13;t[29]=25.19,,r=.98)。采用正态分布拟合优度检验分析等分试样间差异,未违反正态性假设,。氢氧化钠对白细胞的数量有有害影响,如图4.
图4.

在NaOH处理前后SH-9(A)和SH-20(B)含量的白细胞的配对曲线(n=30)。红线表示平均细胞计数。氢氧化钠;红细胞、红细胞;白细胞,白细胞。
对SH-3等分试样进行了相同的分析。平均而言,与未处理的等分试样(平均值=126.7,SE=3.44;t[29]=14.30,,r=.94)。采用正态分布拟合优度检验分析等分试样间差异,未违反正态性假设,。氢氧化钠对白细胞的数量有有害影响。
使用血尿患者的尿液样本评估50mMNaOH对红细胞的影响。平均而言,与未处理的等分试样(平均值=276.3,SE=12.58;t[29]=21.5,,r=.94)。采用正态分布拟合优度检验分析等分试样间差异,未违反正态性假设,。氢氧化钠对红细胞的数量有有害影响,如图4.
温度对非晶晶体的影响预计无定形尿酸盐在加热至约60°C时会溶解。5我们使用图3.将22个宏观浊度等级为2或3的尿液标本在不同温度下在水浴中孵育90秒。所有标本在60°C孵育时均显示浊度至少降低1个单位;其中19个标本显示至少减少了2个单位。其中18个标本在55°C孵育时显示出至少2个单位的宏观浊度降低。图5显示了在宏观上加热标本的效果(图5A)和显微镜下(图5B和5C).
图5.

温度对无定形尿酸盐的影响。a。升温前后的标本23。b.在显微镜下,无定形晶体掩盖了未经处理的样品中的可见度。c.离心前预热样品时沉积物的微观视图。在400×放大倍率下拍摄的显微照片,明场显微镜,无染色。
结论无定形晶体没有临床意义;然而,它们类似于细菌,可以掩盖尿液显微镜检查中的关键发现。尿液分析教科书指出,无定形尿酸盐可以溶解在弱碱和热中,但它们没有提供这样做的方案。在这里,我们提供了这些协议和安全预防措施10,11(图6).
图6.

溶解无定形尿酸盐晶体的方案。
当尿液浑浊呈淡粉红色外观、高比重和酸性pH值时,应怀疑无定形尿酸盐晶体。由于尿红素的粘附,沉积物是粉红色的。这种颜色通常被称为“砖尘”。1,2,5当尿液标本升温至60°C时,无定形尿酸盐会迅速溶解。这种治疗对尿液中形成的元素无害。从程序的角度来看,请注意,必须在离心前进行加热,因为沉积物太浓缩而无法仅通过加热溶解。向尿沉渣中添加50mMNaOH是快速溶解无定形尿酸盐的安全有效方法。它有助于细菌和酵母的鉴定;然而,它对红细胞和白细胞有害。
这项研究的一个局限性是没有关于50mMNaOH对铸件影响的信息。用于评估红细胞和白细胞的标本数量有限,但最终表明,当标本用NaOH处理时,细胞计数将不准确。
常规尿液分析显微镜检查的最佳标本是新鲜标本,但这并不总是可行的。冷藏是分析前储存的常用方法,它促进晶体形成。分析人员应怀疑具有高比重和酸性pH值的浑浊样品具有无定形尿酸盐,并在离心前对其进行预热以溶解晶体。我们发现50mMNaOH是一种弱碱,可以安全地添加到尿沉渣中,以快速确认潜在细菌和酵母的存在。该措施是医学实验室科学家进行尿液显微镜分析的附加工具。